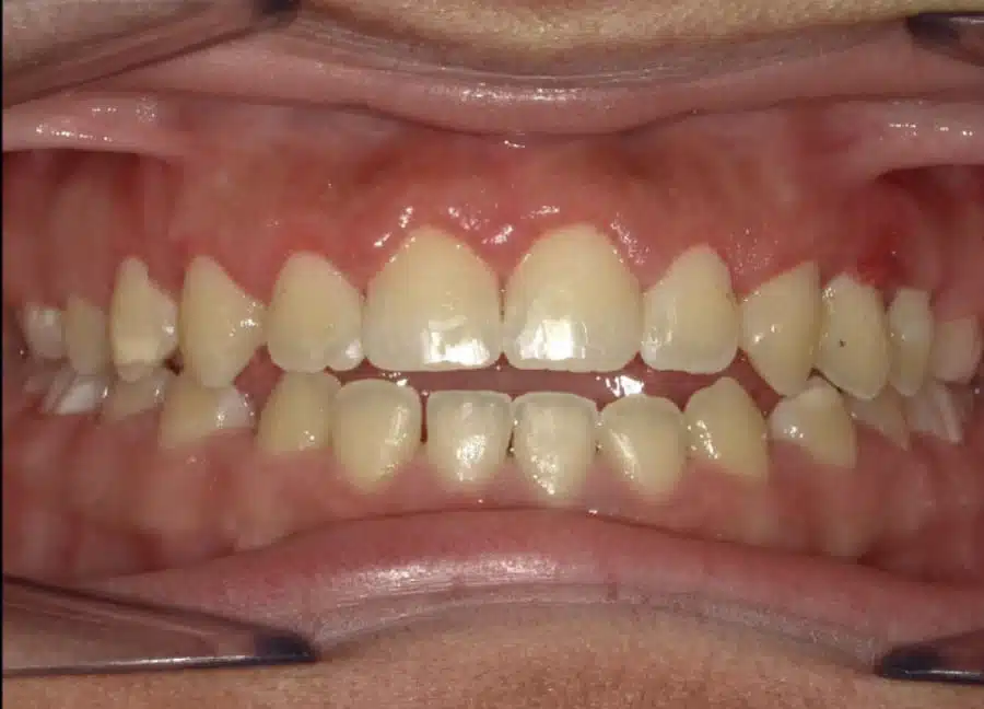
Before
After

Pichardo

Pichardo recently underwent Teeth/Gum Laser Contouring at Smiles Orthodontics, a cutting-edge procedure designed to enhance the appearance of the smile. This treatment precisely reshapes the gums to create a more balanced and even gum line, addressing issues like a “gummy smile” or uneven gum tissue. Using advanced laser technology, the procedure is minimally invasive, ensuring reduced discomfort and faster recovery compared to traditional methods. With Dr Tanya Vaysman expertise and the advanced techniques at Smiles Orthodontics, the result is a beautifully enhanced smile that boosts both confidence and oral health.

Scroll to Top

New Patient

Current Patient