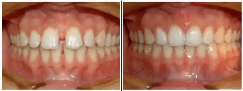
SPACING
Generalized spacing or a large space between the upper two front teeth is common. When present, it tends to get worse without correction. The Invisalign system is very efficient in closing these spaces, making the smile aesthetic, and creating a healthy dental environment. Length of treatment: 11 months.
OVERBITE
Overbite is a problem present in a big portion of the adult population. It is a scenario where upper front teeth are positioned very far forward. It gives an unaesthetic appearance of the teeth as well as the upper lip sticking out beyond the proper facial balance. It also places excessive pressure on the back teeth since the front teeth do not function in chewing which leads to wear and break down of the teeth.
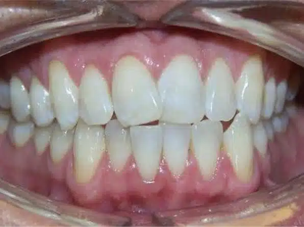
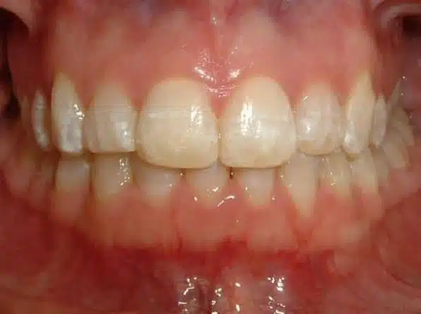
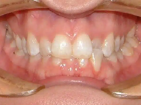
CROSS BITE OF THE FRONT TEETH
A cross bite is a condition in which one or more of the upper teeth bite inside the lower teeth. When it occurs in the front teeth it will look anesthetic as well as cause wear on the edges of the teeth from the wrong biting position. This can be successfully corrected with Invisalign to improve the smile as well as to create a much more comfortable bite.

