Smile Gallery Early Treatment
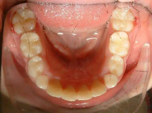
CROSS BITE
This patient has a crossbite on the left side, where the upper back teeth are inside the lower teeth. This needs to be corrected quickly as it can cause shifting of the jaw. The patient’s lower jaw is to the left initially to compensate for the cross bite. The midlines align once the bite is corrected. This is difficult to correct at a later age. Length of treatment: 15 months
OPEN BITE
Front open bite often develops in children who have a thumb-sucking habit. There is also no overlap between the upper and lower front teeth. This is a severe problem if not addressed at an early age. As an adult patient, a surgical approach may be needed to get ideal correction. The habit needs to be stopped, preferably prior to the eruption of the front permanent teeth.
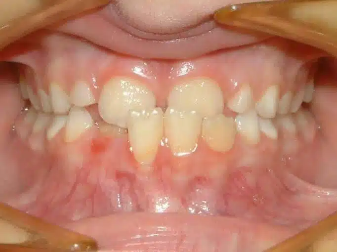
UNDERBITE
The presence of an under bite (upper teeth inside the lower teeth) is a very serious problem in a child. Prolonged function in the under bite position can hinder the development of the upper jaw during growth. Future surgical correction might be required if the problem is not addressed in time. Length of treatment: 12 months.
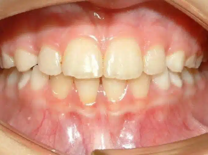
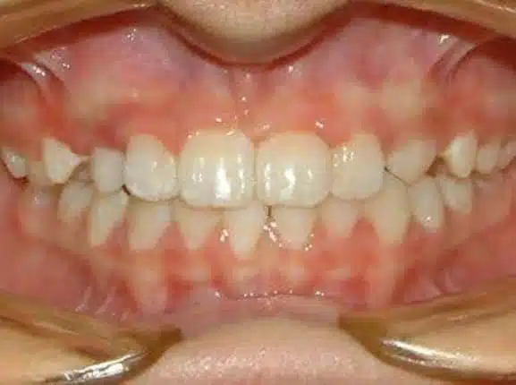
DEEP BITE
Deep bite, which is a complete overlap of the lower teeth with the upper teeth, is also common in children. Sometimes the correction can be as simple as wearing a retainer, or placing some partial braces. It is best to correct the problem early so that the lower jaw can be free to grow to its normal size and is not locked behind the upper teeth.
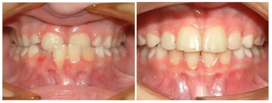
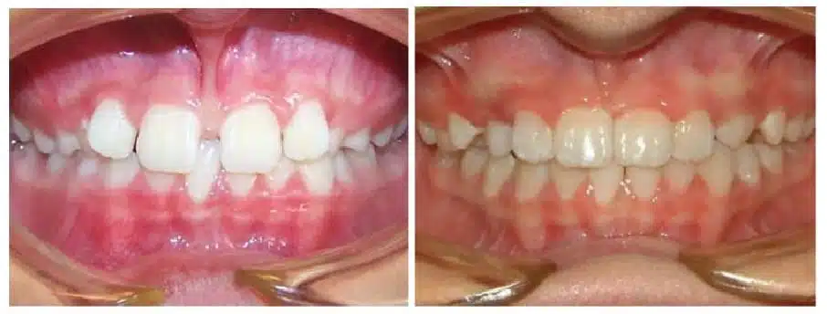
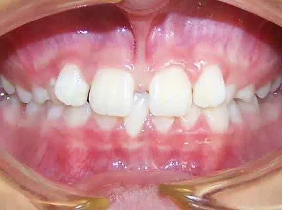
SPACING OF THE FRONT TEETH
In some kids, the upper permanent front teeth will space out as their erupt. This can present a problem for the eruption of oher teeth since they will take some of the space needed for other teeth. Treatment sometimes is needed early to provide the proper spacing for the remaining teeth. Treatment length: 10 months.

