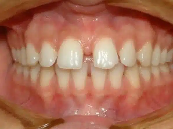
Before
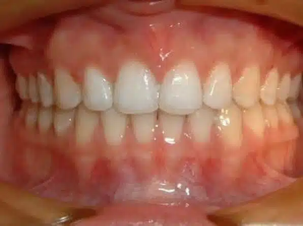
After

SPACING

Generalized spacing or a large space between the upper two front teeth is common. When present, it tends to get worse without correction. The Invisalign system is very efficient in closing these spaces, making the smile aesthetic, and creating a healthy dental environment. Length of treatment: 11 months.

Before
After

MISALIGNED TEETH

When teeth are misaligned it results in an unattractive smile, even if the teeth are healthy and white. Alignment correction can dramatically change this appearance, without the need for veneers or bonding. Length of treatment: 15 months.

Before
After

LOWER CROWDING

Crowding of the bottom teeth is present in almost every adult, even in those whose teeth were straight when they were younger. The correction is simple with Invisalign treatment and usually doesn’t require an extended treatment time.

Before
After

OVERBITE

Overbite is a problem present in a big portion of the adult population. It is a scenario where upper front teeth are positioned very far forward. It gives an unaesthetic appearance of the teeth as well as the upper lip sticking out beyond the proper facial balance. It also places excessive pressure on the back teeth since the front teeth do not function in chewing which leads to wear and break down of the teeth.

Before
After

CROWDED TEETH MEETING ON TOP OF EACH OTHER

Upper and lower teeth are misaligned. The teeth in front are meeting on top of each other when the patient bites down causing wear of the edges. After Invisalign treatment, the trauma and wear on the upper front teeth is eliminated.

Before
After

OVERLAPPING FRONT TEETH

Upper teeth are crowded. There is overlap between the upper front teeth which usually contributes to bone loss in that area. Improved aesthetic alignment after Invisalign treatment is evident.

Before
After

CROSS BITE OF THE FRONT TEETH

A cross bite is a condition in which one or more of the upper teeth bite inside the lower teeth. When it occurs in the front teeth it will look anesthetic as well as cause wear on the edges of the teeth from the wrong biting position. This can be successfully corrected with Invisalign to improve the smile as well as to create a much more comfortable bite.

Scroll to Top