Open Bite
Front open bite often develops in children who have a thumb sucking habit. There is also no overlap between the upper and lower front teeth. This is a severe problem if not addressed at an early age. As an adult patient, a surgical approach may be needed to get ideal correction. The habit needs to be stopped, preferably prior to the eruption of the front permanent teeth.
Under Bite
The presence of an under bite (upper teeth inside the lower teeth) is a very serious problem in a child. Prolonged function in the under bite position can hinder the development of the upper jaw during growth. Future surgical correction might be required if the problem is not addressed in time. Length of treatment: 12 months.
Deep Bite
Deep bite, which is a complete overlap of the lower teeth with the upper teeth, is also common in children. Sometimes the correction can be as simple as wearing a retainer, or placing some partial braces. It is best to correct the problem early so that the lower jaw can be free to grow to its normal size and is not locked behind the upper teeth.
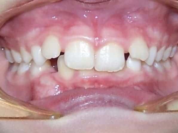
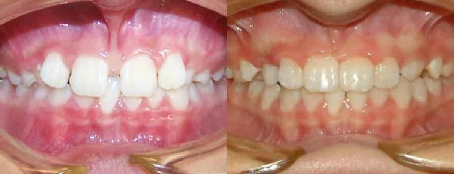
Spacing of the Front Teeth
In some kids the upper permaent front teeth will space out as their erupt. This can present a problem for the eruption of oher teeth since they will take some of the space needed for other teeth. Treatment sometimes is needed early to provide the proper spacing for the remaining teeth. Treatment length: 10 months

