Before
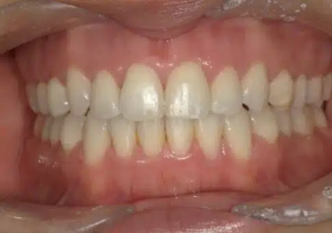
After

FRANCO
Treated with Invisalign for Open Bite
Franco was seeking treatment options to correct his open bite. He had been told for years that jaw surgery was his only option to close the open bite. He had only contact on one tooth on each side and was developing a lot of jaw pain. He really wanted to correct his teeth and improve his bite. We reviewed all the options with him and discussed the advances in new technology and our ability to now close open bites with clear aligner therapy like Invisalign. He was so excited that she had an alternative to surgery that he wanted to start immediately. After 18 months of wearing Invisalign, she has an amazing smile, he can chew better, and all the jaw pain is gone.

